Przed: Uzębienie resztkowe. Po: Zęby wykorzystane do wzmocnienia protezy estetycznej, która nie generuje żadnej ruchomości podczas użytkowania.
Przed: Braki zębowe, zaburzona girlanda dziąsłowa. Po: Korony na implantach i zębach własnych, plastyka dziąsła.
Przed: Liczne braki zębowe, stłoczenie. Po: Most tymczasowy do czasu wygojenia tkanek po usuniętych zębach.
Przed: Braki zębowe, starcie. Po: Praca tymczasowa na czas wgojenia implantów.
Przed: Obniżona wysokość zwarcia. Po: Podniesione zwarcie na koronach tymczasowych w łuku górnym.
Przed: Nieestetyczne korony metalowo-ceramiczne. Po: Zmiana kształtu i koloru koronami tymczasowymi do czasu wygojenia tkanek.
Przed: Zęby starte, stłoczone oraz przebarwione. Po: Bonding w odcinku bocznym oraz korony cyrkonowe w odcinku przednim.
Przed: Uzębienie resztkowe, 4 zęby w szczęce Po: Zęby wykorzystane do wzmocnienia protezy estetycznej, która nie generuje żadnej ruchomości podczas użytkowania.
Przed: Braki zębowe uzupełnione protezą ruchomą. Po: Mosty tymczasowe do czasu wygojenia tkanek.
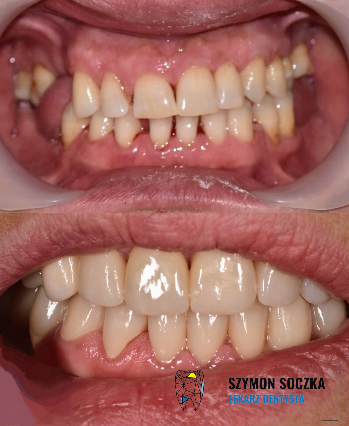
Przed: Zęby stłoczone, mocno przebarwione. Po: Zęby z koronami cyrkonowymi.
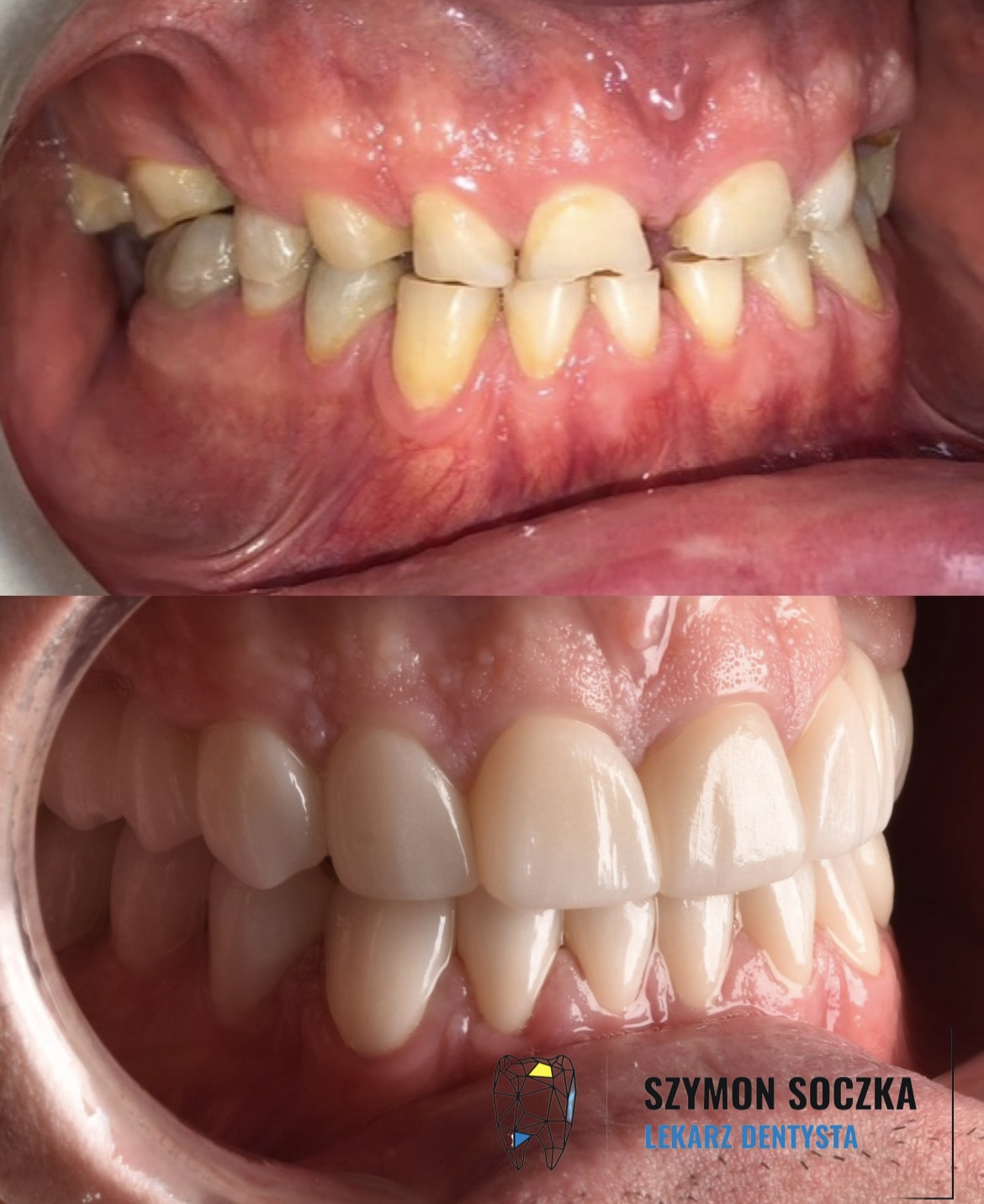
Przed: Liczne braki zębowe, tremy między zębami. Po: Wszystkie zęby łuku górnego oraz dolnego pokryte koronami cyrkonowymi, w miejscach braków zębowych korony cyrkonowe na implantach.
Przed: Zęby mocno starte, tremy. Po: Wszystkie zęby łuku górnego oraz dolnego pokryte koronami cyrkonowymi.
Wszystkie prawa zastrzeżone © 2026 Dentysta-Soczka